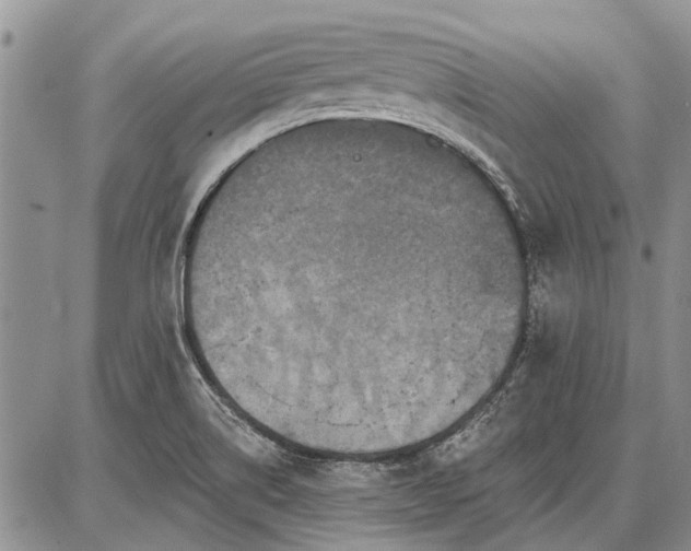
xtuition

X0000086881535200704231050

X0000086881535

Read Date: 2007-04-23 10:50:00

Cocktail: 7_C0768

crystal

X0000086881531200704231050

X0000086881531

Read Date: 2007-04-23 10:50:00

Cocktail: 7_C0767

clear

X0000086881476200704231050

X0000086881476

Read Date: 2007-04-23 10:50:00

Cocktail: 7_C1149

precip

X0000086881516200704231050

X0000086881516

Read Date: 2007-04-23 10:50:00

Cocktail: 7_C1531

precip

X0000086881502200704231050

X0000086881502

Read Date: 2007-04-23 10:50:00

Cocktail: 7_C1336

crystal

X0000086881468200704231050

X0000086881468

Read Date: 2007-04-23 10:50:00

Cocktail: 7_C1147

clear

X0000086881479200704231050

X0000086881479

Read Date: 2007-04-23 10:50:00

Cocktail: 7_C0382

clear

X0000086881499200704231050

X0000086881499

Read Date: 2007-04-23 10:50:00

Cocktail: 7_C0759

clear

X0000086881530200704231050

X0000086881530

Read Date: 2007-04-23 10:50:00

Cocktail: 7_C1343

clear

X0000086881513200704231050

X0000086881513

Read Date: 2007-04-23 10:50:00

Cocktail: 7_C0571

crystal

X0000086881523200704231050

X0000086881523

Read Date: 2007-04-23 10:50:00

Cocktail: 7_C0765

clear

X0000086881536200704231050

X0000086881536

Read Date: 2007-04-23 10:50:00

Cocktail: 7_C1536

clear

X0000086881533200704231050

X0000086881533

Read Date: 2007-04-23 10:50:00

Cocktail: 7_C0576

precip

X0000086881522200704231050

X0000086881522

Read Date: 2007-04-23 10:50:00

Cocktail: 7_C1341

precip

X0000086881505200704231050

X0000086881505

Read Date: 2007-04-23 10:50:00

Cocktail: 7_C0569

precip

X0000086881515200704231050

X0000086881515

Read Date: 2007-04-23 10:50:00

Cocktail: 7_C0763

precip

X0000086881528200704231050

X0000086881528

Read Date: 2007-04-23 10:50:00

Cocktail: 7_C1534

clear

X0000086881514200704231050

X0000086881514

Read Date: 2007-04-23 10:50:00

Cocktail: 7_C1339

precip

X0000086881512200704231050

X0000086881512

Read Date: 2007-04-23 10:50:00

Cocktail: 7_C1530

clear

X0000086881474200704231050

X0000086881474

Read Date: 2007-04-23 10:50:00

Cocktail: 7_C0957

precip

X0000086881472200704231050

X0000086881472

Read Date: 2007-04-23 10:50:00

Cocktail: 7_C1148

clear