xtuition

X0000087020727200705071509

X0000087020727

Read Date: 2007-05-07 15:09:00

Cocktail: 7_C0710

precip

X0000087020731200705071509

X0000087020731

Read Date: 2007-05-07 15:09:00

Cocktail: 7_C0711

phase

X0000087020775200705071509

X0000087020775

Read Date: 2007-05-07 15:09:00

Cocktail: 7_C0242

precip

X0000087020742200705071509

X0000087020742

Read Date: 2007-05-07 15:09:00

Cocktail: 7_C1290

precip

X0000087020722200705071509

X0000087020722

Read Date: 2007-05-07 15:09:00

Cocktail: 7_C1285

precip

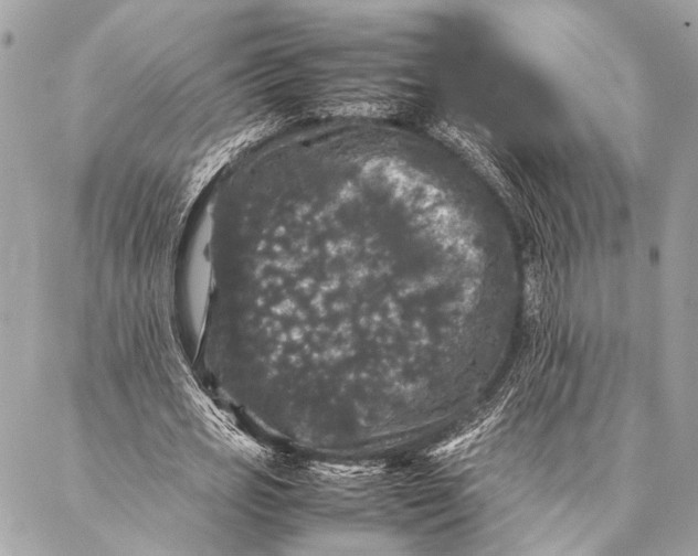
X0000087020724200705071509

X0000087020724

Read Date: 2007-05-07 15:09:00

Cocktail: 7_C1477

crystal

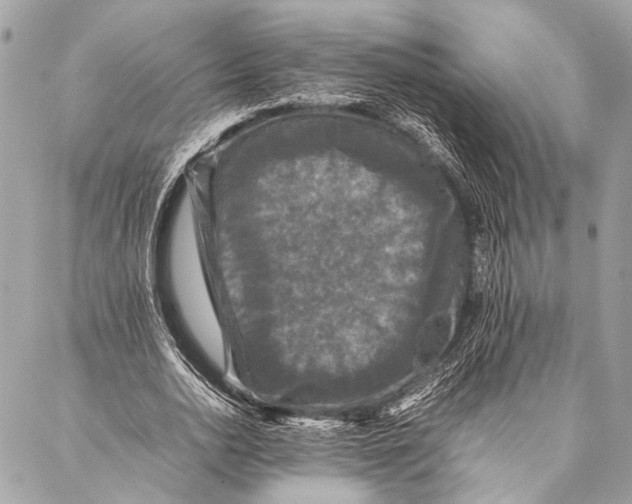
X0000087020726200705071509

X0000087020726

Read Date: 2007-05-07 15:09:00

Cocktail: 7_C1286

precip

X0000087020725200705071509

X0000087020725

Read Date: 2007-05-07 15:09:00

Cocktail: 7_C0518

precip_skin

X0000087020751200705071509

X0000087020751

Read Date: 2007-05-07 15:09:00

Cocktail: 7_C0716

crystal

X0000087020761200705071509

X0000087020761

Read Date: 2007-05-07 15:09:00

Cocktail: 7_C0527

precip_skin

X0000087020752200705071509

X0000087020752

Read Date: 2007-05-07 15:09:00

Cocktail: 7_C1484

clear

X0000087020728200705071509

X0000087020728

Read Date: 2007-05-07 15:09:00

Cocktail: 7_C1478

precip

X0000087020723200705071509

X0000087020723

Read Date: 2007-05-07 15:09:00

Cocktail: 7_C0709

precip

X0000087020748200705071509

X0000087020748

Read Date: 2007-05-07 15:09:00

Cocktail: 7_C1483

crystal

X0000087020732200705071509

X0000087020732

Read Date: 2007-05-07 15:09:00

Cocktail: 7_C1479

precip

X0000087020746200705071509

X0000087020746

Read Date: 2007-05-07 15:09:00

Cocktail: 7_C1291

crystal

X0000087020735200705071509

X0000087020735

Read Date: 2007-05-07 15:09:00

Cocktail: 7_C0712

precip

X0000087020764200705071509

X0000087020764

Read Date: 2007-05-07 15:09:00

Cocktail: 7_C1487

precip

X0000087020766200705071509

X0000087020766

Read Date: 2007-05-07 15:09:00

Cocktail: 7_C1296

precip

X0000087020767200705071509

X0000087020767

Read Date: 2007-05-07 15:09:00

Cocktail: 7_C0720

precip

X0000087020741200705071509

X0000087020741

Read Date: 2007-05-07 15:09:00

Cocktail: 7_C0522

precip_skin