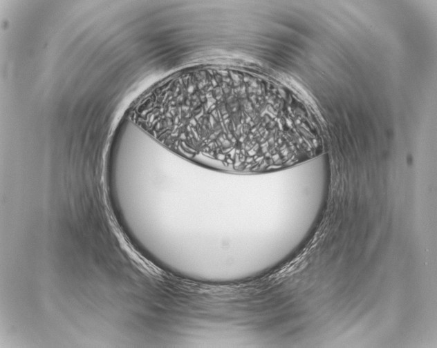
xtuition

X0000087361136200705111638

X0000087361136

Read Date: 2007-05-11 16:38:00

Cocktail: 7_C1508

crystal

X0000087361106200705111638

X0000087361106

Read Date: 2007-05-11 16:38:00

Cocktail: 7_C1309

precip_skin

X0000087361147200705111638

X0000087361147

Read Date: 2007-05-11 16:38:00

Cocktail: 7_C0743

precip_skin

X0000087361144200705111638

X0000087361144

Read Date: 2007-05-11 16:38:00

Cocktail: 7_C1510

clear

X0000087361126200705111638

X0000087361126

Read Date: 2007-05-11 16:38:00

Cocktail: 7_C1314

precip

X0000087361119200705111638

X0000087361119

Read Date: 2007-05-11 16:38:00

Cocktail: 7_C0736

precip

X0000087361138200705111638

X0000087361138

Read Date: 2007-05-11 16:38:00

Cocktail: 7_C1317

crystal

X0000087361125200705111638

X0000087361125

Read Date: 2007-05-11 16:38:00

Cocktail: 7_C0546

precip

X0000087361128200705111638

X0000087361128

Read Date: 2007-05-11 16:38:00

Cocktail: 7_C1506

crystal

X0000087361157200705111638

X0000087361157

Read Date: 2007-05-11 16:38:00

Cocktail: 7_C0074

crystal

X0000087361152200705111638

X0000087361152

Read Date: 2007-05-11 16:38:00

Cocktail: 7_C1512

precip

X0000087361118200705111638

X0000087361118

Read Date: 2007-05-11 16:38:00

Cocktail: 7_C1312

precip

X0000087361127200705111638

X0000087361127

Read Date: 2007-05-11 16:38:00

Cocktail: 7_C0738

precip_skin

X0000087361123200705111638

X0000087361123

Read Date: 2007-05-11 16:38:00

Cocktail: 7_C0737

precip

X0000087361158200705111638

X0000087361158

Read Date: 2007-05-11 16:38:00

Cocktail: 7_C0842

precip

X0000087361159200705111638

X0000087361159

Read Date: 2007-05-11 16:38:00

Cocktail: 7_C0266

precip

X0000087361141200705111638

X0000087361141

Read Date: 2007-05-11 16:38:00

Cocktail: 7_C0550

precip

X0000087361133200705111638

X0000087361133

Read Date: 2007-05-11 16:38:00

Cocktail: 7_C0548

precip

X0000087361102200705111638

X0000087361102

Read Date: 2007-05-11 16:38:00

Cocktail: 7_C0936

precip

X0000087361140200705111638

X0000087361140

Read Date: 2007-05-11 16:38:00

Cocktail: 7_C1509

precip

X0000087361113200705111638

X0000087361113

Read Date: 2007-05-11 16:38:00

Cocktail: 7_C0543

precip