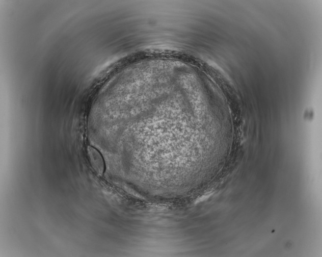
xtuition

X0000091650805200709060957

X0000091650805

Read Date: 2007-09-06 09:57:00

Cocktail: 7_C0058

crystal

X0000091650854200709060957

X0000091650854

Read Date: 2007-09-06 09:57:00

Cocktail: 7_C1210

precip_skin

X0000091650807200709060957

X0000091650807

Read Date: 2007-09-06 09:57:00

Cocktail: 7_C0250

precip

X0000091650803200709060957

X0000091650803

Read Date: 2007-09-06 09:57:00

Cocktail: 7_C0249

precip_skin

X0000091650857200709060957

X0000091650857

Read Date: 2007-09-06 09:57:00

Cocktail: 7_C0443

precip_skin

X0000091650840200709060957

X0000091650840

Read Date: 2007-09-06 09:57:00

Cocktail: 7_C1398

precip

X0000091650802200709060957

X0000091650802

Read Date: 2007-09-06 09:57:00

Cocktail: 7_C0825

precip

X0000091650809200709060957

X0000091650809

Read Date: 2007-09-06 09:57:00

Cocktail: 7_C0059

precip

X0000091650876200709060957

X0000091650876

Read Date: 2007-09-06 09:57:00

Cocktail: 7_C1107

precip

X0000091650867200709060957

X0000091650867

Read Date: 2007-09-06 09:57:00

Cocktail: 7_C0337

precip_skin

X0000091650804200709060957

X0000091650804

Read Date: 2007-09-06 09:57:00

Cocktail: 7_C1017

precip

X0000091650849200709060957

X0000091650849

Read Date: 2007-09-06 09:57:00

Cocktail: 7_C0441

precip_skin

X0000091650879200709060957

X0000091650879

Read Date: 2007-09-06 09:57:00

Cocktail: 7_C0340

precip_skin

X0000091650880200709060957

X0000091650880

Read Date: 2007-09-06 09:57:00

Cocktail: 7_C1108

precip

X0000091650844200709060957

X0000091650844

Read Date: 2007-09-06 09:57:00

Cocktail: 7_C1399

precip_skin

X0000091650848200709060957

X0000091650848

Read Date: 2007-09-06 09:57:00

Cocktail: 7_C1400

precip

X0000091650878200709060957

X0000091650878

Read Date: 2007-09-06 09:57:00

Cocktail: 7_C0916

precip

X0000091650813200709060957

X0000091650813

Read Date: 2007-09-06 09:57:00

Cocktail: 7_C0060

precip_skin

X0000091650870200709060957

X0000091650870

Read Date: 2007-09-06 09:57:00

Cocktail: 7_C0914

precip_skin

X0000091650842200709060957

X0000091650842

Read Date: 2007-09-06 09:57:00

Cocktail: 7_C1207

precip

X0000091650839200709060957

X0000091650839

Read Date: 2007-09-06 09:57:00

Cocktail: 7_C0630

precip