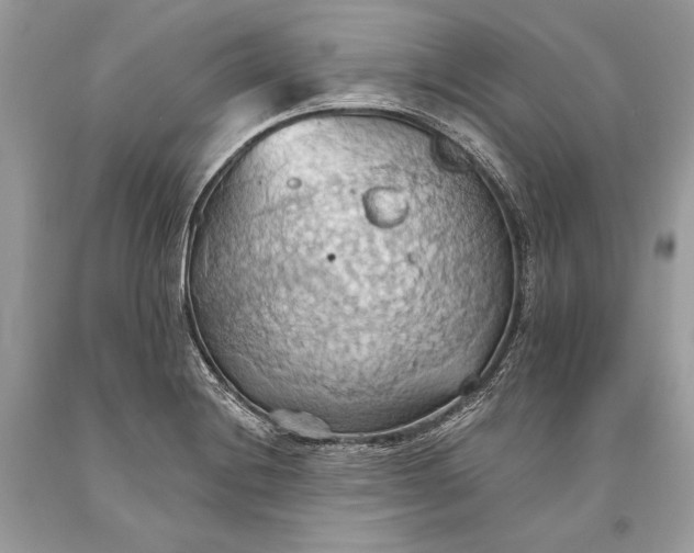
xtuition

X0000093521312200710261211

X0000093521312

Read Date: 2007-10-26 12:11:00

Cocktail: 7_C1516

precip

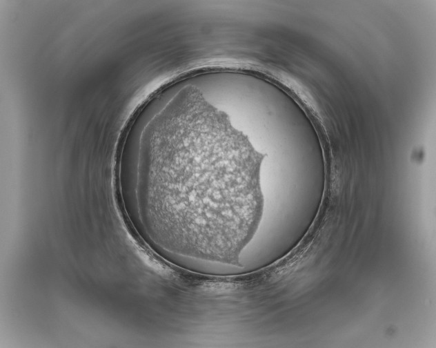
X0000093521281200710261211

X0000093521281

Read Date: 2007-10-26 12:11:00

Cocktail: 7_C0177

precip

X0000093521342200710261211

X0000093521342

Read Date: 2007-10-26 12:11:00

Cocktail: 7_C1332

phase

X0000093521224200710261212

X0000093521224

Read Date: 2007-10-26 12:12:00

Cocktail: 7_C1422

precip

X0000093521262200710261212

X0000093521262

Read Date: 2007-10-26 12:12:00

Cocktail: 7_C0940

precip

X0000093521220200710261212

X0000093521220

Read Date: 2007-10-26 12:12:00

Cocktail: 7_C1421

precip

X0000093521228200710261212

X0000093521228

Read Date: 2007-10-26 12:12:00

Cocktail: 7_C1423

precip_skin

X0000093521208200710261212

X0000093521208

Read Date: 2007-10-26 12:12:00

Cocktail: 7_C1418

precip_skin

X0000093521210200710261212

X0000093521210

Read Date: 2007-10-26 12:12:00

Cocktail: 7_C1227

crystal

X0000093521237200710261212

X0000093521237

Read Date: 2007-10-26 12:12:00

Cocktail: 7_C0466

precip_skin

X0000093521258200710261212

X0000093521258

Read Date: 2007-10-26 12:12:00

Cocktail: 7_C0939

precip

X0000093521257200710261212

X0000093521257

Read Date: 2007-10-26 12:12:00

Cocktail: 7_C0171

precip

X0000093521251200710261212

X0000093521251

Read Date: 2007-10-26 12:12:00

Cocktail: 7_C0361

crystal

X0000093521250200710261212

X0000093521250

Read Date: 2007-10-26 12:12:00

Cocktail: 7_C0937

phase

X0000093521201200710261212

X0000093521201

Read Date: 2007-10-26 12:12:00

Cocktail: 7_C0457

crystal

X0000093521238200710261212

X0000093521238

Read Date: 2007-10-26 12:12:00

Cocktail: 7_C1234

phase

X0000093521248200710261212

X0000093521248

Read Date: 2007-10-26 12:12:00

Cocktail: 7_C1428

precip

X0000093521255200710261212

X0000093521255

Read Date: 2007-10-26 12:12:00

Cocktail: 7_C0362

precip

X0000093521249200710261212

X0000093521249

Read Date: 2007-10-26 12:12:00

Cocktail: 7_C0169

precip

X0000093521198200710261212

X0000093521198

Read Date: 2007-10-26 12:12:00

Cocktail: 7_C0852

precip

X0000093521240200710261212

X0000093521240

Read Date: 2007-10-26 12:12:00

Cocktail: 7_C1426

precip_skin