xtuition

X0000093740826200710301103

X0000093740826

Read Date: 2007-10-30 11:03:00

Cocktail: 7_C1203

crystal

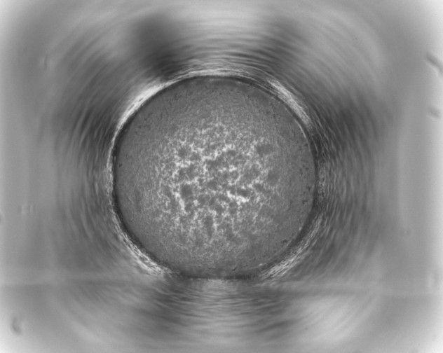
X0000093740762200710301104

X0000093740762

Read Date: 2007-10-30 11:04:00

Cocktail: 7_C1295

precip

X0000093740786200710301104

X0000093740786

Read Date: 2007-10-30 11:04:00

Cocktail: 7_C0821

clear

X0000093740761200710301104

X0000093740761

Read Date: 2007-10-30 11:04:00

Cocktail: 7_C0527

crystal

X0000093740751200710301104

X0000093740751

Read Date: 2007-10-30 11:04:00

Cocktail: 7_C0716

crystal

X0000093740721200710301104

X0000093740721

Read Date: 2007-10-30 11:04:00

Cocktail: 7_C0517

precip

X0000093740765200710301104

X0000093740765

Read Date: 2007-10-30 11:04:00

Cocktail: 7_C0528

precip

X0000093740720200710301104

X0000093740720

Read Date: 2007-10-30 11:04:00

Cocktail: 7_C1104

crystal

X0000093740738200710301104

X0000093740738

Read Date: 2007-10-30 11:04:00

Cocktail: 7_C1289

crystal

X0000093740776200710301104

X0000093740776

Read Date: 2007-10-30 11:04:00

Cocktail: 7_C1010

crystal

X0000093740787200710301104

X0000093740787

Read Date: 2007-10-30 11:04:00

Cocktail: 7_C0245

precip_skin

X0000093740734200710301104

X0000093740734

Read Date: 2007-10-30 11:04:00

Cocktail: 7_C1288

precip

X0000093740780200710301104

X0000093740780

Read Date: 2007-10-30 11:04:00

Cocktail: 7_C1011

precip

X0000093740773200710301104

X0000093740773

Read Date: 2007-10-30 11:04:00

Cocktail: 7_C0050

clear

X0000093740788200710301104

X0000093740788

Read Date: 2007-10-30 11:04:00

Cocktail: 7_C1013

clear

X0000093740754200710301104

X0000093740754

Read Date: 2007-10-30 11:04:00

Cocktail: 7_C1293

precip

X0000093740750200710301104

X0000093740750

Read Date: 2007-10-30 11:04:00

Cocktail: 7_C1292

phase

X0000093740735200710301104

X0000093740735

Read Date: 2007-10-30 11:04:00

Cocktail: 7_C0712

precip

X0000093740739200710301104

X0000093740739

Read Date: 2007-10-30 11:04:00

Cocktail: 7_C0713

precip_skin

X0000093740723200710301104

X0000093740723

Read Date: 2007-10-30 11:04:00

Cocktail: 7_C0709

crystal

X0000093740752200710301104

X0000093740752

Read Date: 2007-10-30 11:04:00

Cocktail: 7_C1484

crystal