xtuition

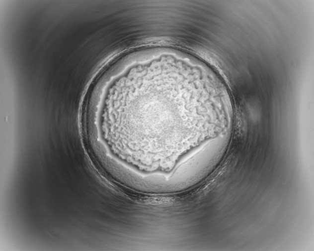
X0000094081151200711021509

X0000094081151

Read Date: 2007-11-02 15:09:00

Cocktail: 7_C0744

crystal

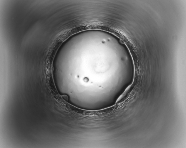
X0000094081019200711021509

X0000094081019

Read Date: 2007-11-02 15:09:00

Cocktail: 7_C0639

clear

X0000094081022200711021509

X0000094081022

Read Date: 2007-11-02 15:09:00

Cocktail: 7_C1216

clear

X0000094081094200711021509

X0000094081094

Read Date: 2007-11-02 15:09:00

Cocktail: 7_C0934

precip

X0000094081059200711021509

X0000094081059

Read Date: 2007-11-02 15:09:00

Cocktail: 7_C0349

crystal

X0000094081044200711021509

X0000094081044

Read Date: 2007-11-02 15:09:00

Cocktail: 7_C1413

crystal

X0000094081090200711021509

X0000094081090

Read Date: 2007-11-02 15:09:00

Cocktail: 7_C0933

precip_skin

X0000094081021200711021509

X0000094081021

Read Date: 2007-11-02 15:09:00

Cocktail: 7_C0448

clear

X0000094081070200711021509

X0000094081070

Read Date: 2007-11-02 15:09:00

Cocktail: 7_C0928

crystal

X0000094081077200711021509

X0000094081077

Read Date: 2007-11-02 15:09:00

Cocktail: 7_C0162

crystal

X0000094081016200711021509

X0000094081016

Read Date: 2007-11-02 15:09:00

Cocktail: 7_C1406

clear

X0000094081074200711021509

X0000094081074

Read Date: 2007-11-02 15:09:00

Cocktail: 7_C0929

phase

X0000094081061200711021509

X0000094081061

Read Date: 2007-11-02 15:09:00

Cocktail: 7_C0158

clear

X0000094081072200711021509

X0000094081072

Read Date: 2007-11-02 15:09:00

Cocktail: 7_C1120

crystal

X0000094081012200711021509

X0000094081012

Read Date: 2007-11-02 15:09:00

Cocktail: 7_C1405

clear

X0000094081017200711021509

X0000094081017

Read Date: 2007-11-02 15:09:00

Cocktail: 7_C0447

crystal

X0000094081040200711021509

X0000094081040

Read Date: 2007-11-02 15:09:00

Cocktail: 7_C1412

crystal

X0000094081063200711021509

X0000094081063

Read Date: 2007-11-02 15:09:00

Cocktail: 7_C0350

crystal

X0000094081031200711021509

X0000094081031

Read Date: 2007-11-02 15:09:00

Cocktail: 7_C0642

crystal

X0000094081071200711021509

X0000094081071

Read Date: 2007-11-02 15:09:00

Cocktail: 7_C0352

crystal

X0000094081066200711021509

X0000094081066

Read Date: 2007-11-02 15:09:00

Cocktail: 7_C0927

clear