xtuition

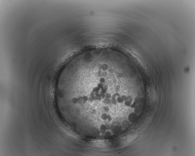
X0000094350571200711091455

X0000094350571

Read Date: 2007-11-09 14:55:00

Cocktail: 7_C0707

crystal

X0000094350507200711091455

X0000094350507

Read Date: 2007-11-09 14:55:00

Cocktail: 7_C0319

crystal

X0000094350526200711091455

X0000094350526

Read Date: 2007-11-09 14:55:00

Cocktail: 7_C0900

precip

X0000094350496200711091455

X0000094350496

Read Date: 2007-11-09 14:55:00

Cocktail: 7_C1084

precip

X0000094350553200711091455

X0000094350553

Read Date: 2007-11-09 14:55:00

Cocktail: 7_C0511

crystal

X0000094350566200711091455

X0000094350566

Read Date: 2007-11-09 14:55:00

Cocktail: 7_C1282

precip

X0000094350506200711091455

X0000094350506

Read Date: 2007-11-09 14:55:00

Cocktail: 7_C0895

precip

X0000094350512200711091455

X0000094350512

Read Date: 2007-11-09 14:55:00

Cocktail: 7_C1088

precip

X0000094350516200711091455

X0000094350516

Read Date: 2007-11-09 14:55:00

Cocktail: 7_C1089

crystal

X0000094350527200711091455

X0000094350527

Read Date: 2007-11-09 14:55:00

Cocktail: 7_C0324

precip

X0000094350522200711091455

X0000094350522

Read Date: 2007-11-09 14:55:00

Cocktail: 7_C0899

crystal

X0000094350568200711091455

X0000094350568

Read Date: 2007-11-09 14:55:00

Cocktail: 7_C1474

precip_crystal

X0000094350488200711091455

X0000094350488

Read Date: 2007-11-09 14:55:00

Cocktail: 7_C1082

precip

X0000094350528200711091455

X0000094350528

Read Date: 2007-11-09 14:55:00

Cocktail: 7_C1092

precip

X0000094350492200711091455

X0000094350492

Read Date: 2007-11-09 14:55:00

Cocktail: 7_C1083

precip

X0000094350490200711091455

X0000094350490

Read Date: 2007-11-09 14:55:00

Cocktail: 7_C0891

precip

X0000094350563200711091455

X0000094350563

Read Date: 2007-11-09 14:55:00

Cocktail: 7_C0705

precip

X0000094350562200711091455

X0000094350562

Read Date: 2007-11-09 14:55:00

Cocktail: 7_C1281

crystal

X0000094350499200711091455

X0000094350499

Read Date: 2007-11-09 14:55:00

Cocktail: 7_C0317

precip_skin

X0000094350557200711091455

X0000094350557

Read Date: 2007-11-09 14:55:00

Cocktail: 7_C0512

precip

X0000094350491200711091455

X0000094350491

Read Date: 2007-11-09 14:55:00

Cocktail: 7_C0315

crystal