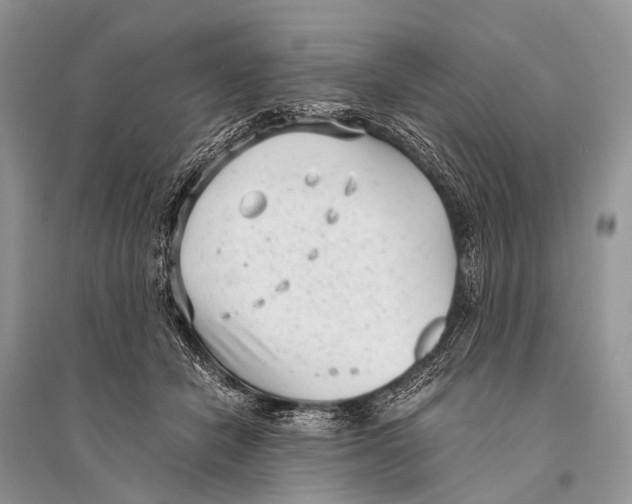
xtuition

X0000094910470200712201201

X0000094910470

Read Date: 2007-12-20 12:01:00

Cocktail: 8_C1186

precip

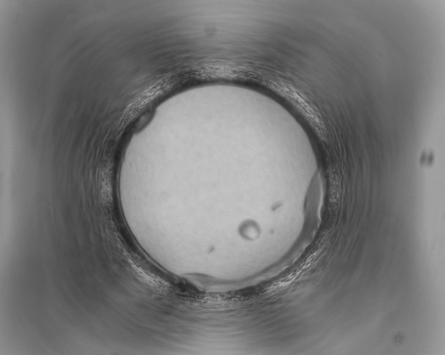
X0000094910467200712201201

X0000094910467

Read Date: 2007-12-20 12:01:00

Cocktail: 8_C0609

precip

X0000094910431200712201201

X0000094910431

Read Date: 2007-12-20 12:01:00

Cocktail: 8_C0228

precip

X0000094910428200712201201

X0000094910428

Read Date: 2007-12-20 12:01:00

Cocktail: 8_C0995

precip_skin

X0000094910491200712201201

X0000094910491

Read Date: 2007-12-20 12:01:00

Cocktail: 8_C0315

precip

X0000094910497200712201201

X0000094910497

Read Date: 2007-12-20 12:01:00

Cocktail: 8_C0125

precip

X0000094910435200712201201

X0000094910435

Read Date: 2007-12-20 12:01:00

Cocktail: 8_C0601

precip

X0000094910489200712201201

X0000094910489

Read Date: 2007-12-20 12:01:00

Cocktail: 8_C0123

precip

X0000094910454200712201201

X0000094910454

Read Date: 2007-12-20 12:01:00

Cocktail: 8_C1182

precip

X0000094910433200712201201

X0000094910433

Read Date: 2007-12-20 12:01:00

Cocktail: 8_C0409

precip

X0000094910460200712201201

X0000094910460

Read Date: 2007-12-20 12:01:00

Cocktail: 8_C1375

precip

X0000094910487200712201201

X0000094910487

Read Date: 2007-12-20 12:01:00

Cocktail: 8_C0314

phase

X0000094910472200712201201

X0000094910472

Read Date: 2007-12-20 12:01:00

Cocktail: 8_C1378

precip_skin

X0000094910479200712201201

X0000094910479

Read Date: 2007-12-20 12:01:00

Cocktail: 8_C0612

precip

X0000094910468200712201201

X0000094910468

Read Date: 2007-12-20 12:01:00

Cocktail: 8_C1377

precip

X0000094910449200712201201

X0000094910449

Read Date: 2007-12-20 12:01:00

Cocktail: 8_C0413

precip

X0000094910464200712201201

X0000094910464

Read Date: 2007-12-20 12:01:00

Cocktail: 8_C1376

precip_skin

X0000094910439200712201201

X0000094910439

Read Date: 2007-12-20 12:01:00

Cocktail: 8_C0602

precip

X0000094910436200712201201

X0000094910436

Read Date: 2007-12-20 12:01:00

Cocktail: 8_C1369

precip

X0000094910429200712201201

X0000094910429

Read Date: 2007-12-20 12:01:00

Cocktail: 8_C0036

precip_skin

X0000094910462200712201201

X0000094910462

Read Date: 2007-12-20 12:01:00

Cocktail: 8_C1184

precip