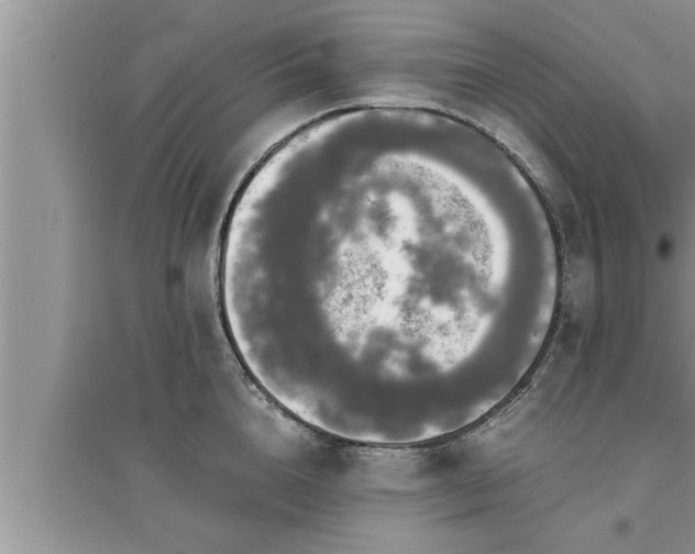
xtuition

X0000095520849200712211301

X0000095520849

Read Date: 2007-12-21 13:01:00

Cocktail: 8_C0441

crystal

X0000095520815200712211301

X0000095520815

Read Date: 2007-12-21 13:01:00

Cocktail: 8_C0252

clear

X0000095520873200712211301

X0000095520873

Read Date: 2007-12-21 13:01:00

Cocktail: 8_C0147

clear

X0000095520822200712211301

X0000095520822

Read Date: 2007-12-21 13:01:00

Cocktail: 8_C1202

precip

X0000095520841200712211301

X0000095520841

Read Date: 2007-12-21 13:01:00

Cocktail: 8_C0439

precip

X0000095520852200712211301

X0000095520852

Read Date: 2007-12-21 13:01:00

Cocktail: 8_C1401

precip_skin

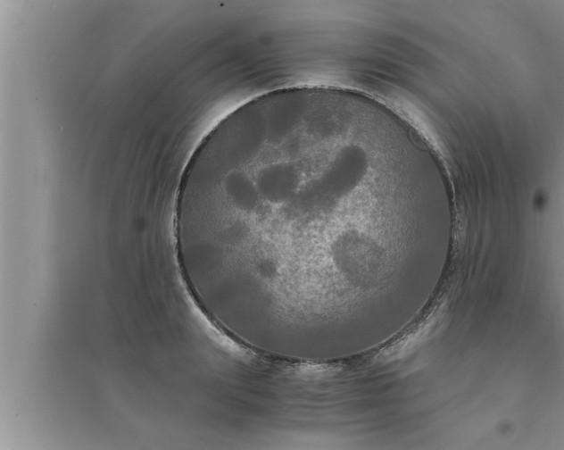
X0000095520821200712211301

X0000095520821

Read Date: 2007-12-21 13:01:00

Cocktail: 8_C0434

Crystal precip_skin

X0000095520838200712211301

X0000095520838

Read Date: 2007-12-21 13:01:00

Cocktail: 8_C1206

precip

X0000095520857200712211301

X0000095520857

Read Date: 2007-12-21 13:01:00

Cocktail: 8_C0443

Crystal precip

X0000095520813200712211301

X0000095520813

Read Date: 2007-12-21 13:01:00

Cocktail: 8_C0060

clear

X0000095520856200712211301

X0000095520856

Read Date: 2007-12-21 13:01:00

Cocktail: 8_C1402

crystal

X0000095520810200712211301

X0000095520810

Read Date: 2007-12-21 13:01:00

Cocktail: 8_C0827

phase

X0000095520859200712211301

X0000095520859

Read Date: 2007-12-21 13:01:00

Cocktail: 8_C0635

precip

X0000095520834200712211301

X0000095520834

Read Date: 2007-12-21 13:01:00

Cocktail: 8_C1205

phase

X0000095520847200712211301

X0000095520847

Read Date: 2007-12-21 13:01:00

Cocktail: 8_C0632

precip_skin

X0000095520864200712211301

X0000095520864

Read Date: 2007-12-21 13:01:00

Cocktail: 8_C1404

precip

X0000095520806200712211301

X0000095520806

Read Date: 2007-12-21 13:01:00

Cocktail: 8_C0826

precip

X0000095520826200712211301

X0000095520826

Read Date: 2007-12-21 13:01:00

Cocktail: 8_C1203

precip

X0000095520861200712211301

X0000095520861

Read Date: 2007-12-21 13:01:00

Cocktail: 8_C0444

phase

X0000095520816200712211301

X0000095520816

Read Date: 2007-12-21 13:01:00

Cocktail: 8_C1020

precip

X0000095520845200712211301

X0000095520845

Read Date: 2007-12-21 13:01:00

Cocktail: 8_C0440

precip