xtuition

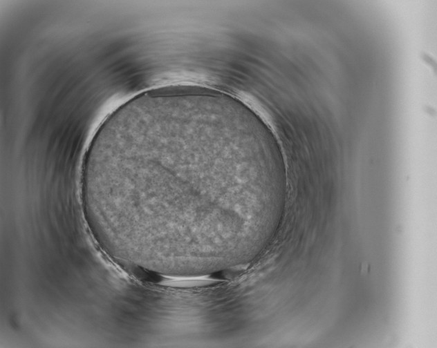
X0000096481169200802141715

X0000096481169

Read Date: 2008-02-14 17:15:00

Cocktail: 8_C0077

crystal

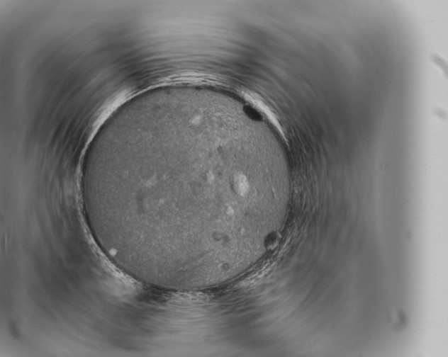
X0000096481109200802141715

X0000096481109

Read Date: 2008-02-14 17:15:00

Cocktail: 8_C0542

precip

X0000096481114200802141715

X0000096481114

Read Date: 2008-02-14 17:15:00

Cocktail: 8_C1311

crystal

X0000096481167200802141715

X0000096481167

Read Date: 2008-02-14 17:15:00

Cocktail: 8_C0268

precip_skin

X0000096481178200802141715

X0000096481178

Read Date: 2008-02-14 17:15:00

Cocktail: 8_C0847

precip_skin

X0000096481149200802141716

X0000096481149

Read Date: 2008-02-14 17:16:00

Cocktail: 8_C0552

precip_skin

X0000096481014200802141716

X0000096481014

Read Date: 2008-02-14 17:16:00

Cocktail: 8_C1214

precip

X0000096481064200802141716

X0000096481064

Read Date: 2008-02-14 17:16:00

Cocktail: 8_C1118

precip

X0000096481069200802141716

X0000096481069

Read Date: 2008-02-14 17:16:00

Cocktail: 8_C0160

clear

X0000096481091200802141716

X0000096481091

Read Date: 2008-02-14 17:16:00

Cocktail: 8_C0357

precip

X0000096481078200802141716

X0000096481078

Read Date: 2008-02-14 17:16:00

Cocktail: 8_C0930

precip

X0000096481104200802141716

X0000096481104

Read Date: 2008-02-14 17:16:00

Cocktail: 8_C1128

precip

X0000096481083200802141716

X0000096481083

Read Date: 2008-02-14 17:16:00

Cocktail: 8_C0355

precip_skin

X0000096481074200802141716

X0000096481074

Read Date: 2008-02-14 17:16:00

Cocktail: 8_C0929

precip

X0000096481098200802141716

X0000096481098

Read Date: 2008-02-14 17:16:00

Cocktail: 8_C0935

precip_skin

X0000096481081200802141716

X0000096481081

Read Date: 2008-02-14 17:16:00

Cocktail: 8_C0163

precip

X0000096481099200802141716

X0000096481099

Read Date: 2008-02-14 17:16:00

Cocktail: 8_C0359

precip_skin

X0000096481103200802141716

X0000096481103

Read Date: 2008-02-14 17:16:00

Cocktail: 8_C0360

precip_skin

X0000096481102200802141716

X0000096481102

Read Date: 2008-02-14 17:16:00

Cocktail: 8_C0936

precip

X0000096481082200802141716

X0000096481082

Read Date: 2008-02-14 17:16:00

Cocktail: 8_C0931

crystal

X0000096481086200802141716

X0000096481086

Read Date: 2008-02-14 17:16:00

Cocktail: 8_C0932

precip