xtuition

X0000096720135200802261703

X0000096720135

Read Date: 2008-02-26 17:03:00

Cocktail: 8_C0298

precip

X0000096720161200802261703

X0000096720161

Read Date: 2008-02-26 17:03:00

Cocktail: 8_C0485

precip_skin

X0000096720123200802261703

X0000096720123

Read Date: 2008-02-26 17:03:00

Cocktail: 8_C0295

precip

X0000096720142200802261703

X0000096720142

Read Date: 2008-02-26 17:03:00

Cocktail: 8_C0876

precip

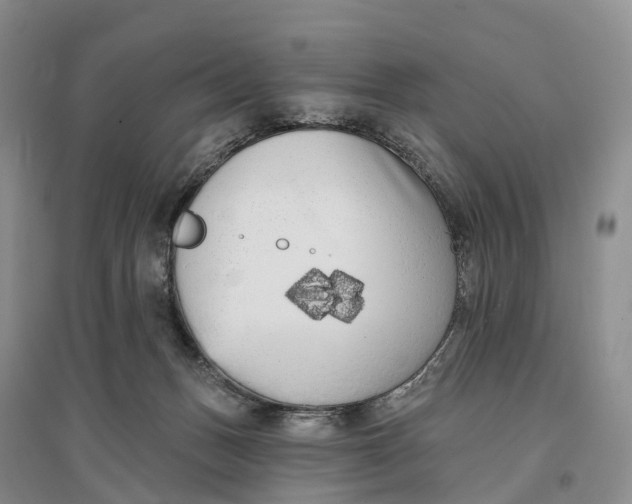
X0000096720180200802261703

X0000096720180

Read Date: 2008-02-26 17:03:00

Cocktail: 8_C1449

crystal

X0000096720134200802261703

X0000096720134

Read Date: 2008-02-26 17:03:00

Cocktail: 8_C0874

crystal

X0000096720173200802261703

X0000096720173

Read Date: 2008-02-26 17:03:00

Cocktail: 8_C0488

precip

X0000096720124200802261703

X0000096720124

Read Date: 2008-02-26 17:03:00

Cocktail: 8_C1063

precip_skin

X0000096720170200802261703

X0000096720170

Read Date: 2008-02-26 17:03:00

Cocktail: 8_C1255

precip

X0000096720116200802261703

X0000096720116

Read Date: 2008-02-26 17:03:00

Cocktail: 8_C1061

precip

X0000096720127200802261703

X0000096720127

Read Date: 2008-02-26 17:03:00

Cocktail: 8_C0296

crystal

X0000096720115200802261703

X0000096720115

Read Date: 2008-02-26 17:03:00

Cocktail: 8_C0293

precip

X0000096720132200802261703

X0000096720132

Read Date: 2008-02-26 17:03:00

Cocktail: 8_C1065

precip

X0000096720165200802261703

X0000096720165

Read Date: 2008-02-26 17:03:00

Cocktail: 8_C0486

precip

X0000096720182200802261703

X0000096720182

Read Date: 2008-02-26 17:03:00

Cocktail: 8_C1258

precip_skin

X0000096720128200802261703

X0000096720128

Read Date: 2008-02-26 17:03:00

Cocktail: 8_C1064

precip

X0000096720172200802261703

X0000096720172

Read Date: 2008-02-26 17:03:00

Cocktail: 8_C1447

precip

X0000096720175200802261703

X0000096720175

Read Date: 2008-02-26 17:03:00

Cocktail: 8_C0680

crystal

X0000096720163200802261703

X0000096720163

Read Date: 2008-02-26 17:03:00

Cocktail: 8_C0677

precip

X0000096720138200802261703

X0000096720138

Read Date: 2008-02-26 17:03:00

Cocktail: 8_C0875

precip

X0000096720118200802261703

X0000096720118

Read Date: 2008-02-26 17:03:00

Cocktail: 8_C0870

precip