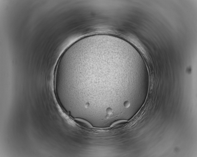
xtuition

X0000097971410200804071046

X0000097971410

Read Date: 2008-04-07 10:46:00

Cocktail: 8_C1241

crystal

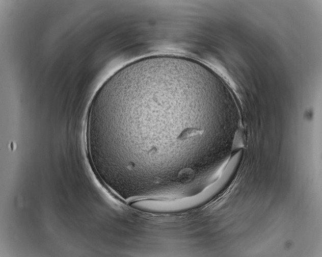
X0000097971409200804071046

X0000097971409

Read Date: 2008-04-07 10:46:00

Cocktail: 8_C0473

precip

X0000097971383200804071046

X0000097971383

Read Date: 2008-04-07 10:46:00

Cocktail: 8_C0286

crystal

X0000097971433200804071046

X0000097971433

Read Date: 2008-04-07 10:46:00

Cocktail: 8_C0479

clear

X0000097971386200804071046

X0000097971386

Read Date: 2008-04-07 10:46:00

Cocktail: 8_C0863

crystal

X0000097971381200804071046

X0000097971381

Read Date: 2008-04-07 10:46:00

Cocktail: 8_C0094

clear

X0000097971438200804071046

X0000097971438

Read Date: 2008-04-07 10:46:00

Cocktail: 8_C1248

clear

X0000097971439200804071046

X0000097971439

Read Date: 2008-04-07 10:46:00

Cocktail: 8_C0672

precip

X0000097971391200804071046

X0000097971391

Read Date: 2008-04-07 10:46:00

Cocktail: 8_C0288

precip_skin

X0000097971414200804071046

X0000097971414

Read Date: 2008-04-07 10:46:00

Cocktail: 8_C1242

crystal

X0000097971416200804071046

X0000097971416

Read Date: 2008-04-07 10:46:00

Cocktail: 8_C1434

crystal

X0000097971384200804071046

X0000097971384

Read Date: 2008-04-07 10:46:00

Cocktail: 8_C1054

clear

X0000097971430200804071046

X0000097971430

Read Date: 2008-04-07 10:46:00

Cocktail: 8_C1246

clear

X0000097971424200804071046

X0000097971424

Read Date: 2008-04-07 10:46:00

Cocktail: 8_C1436

phase

X0000097971385200804071046

X0000097971385

Read Date: 2008-04-07 10:46:00

Cocktail: 8_C0095

crystal

X0000097971425200804071046

X0000097971425

Read Date: 2008-04-07 10:46:00

Cocktail: 8_C0477

precip_skin

X0000097971437200804071046

X0000097971437

Read Date: 2008-04-07 10:46:00

Cocktail: 8_C0480

clear

X0000097971411200804071046

X0000097971411

Read Date: 2008-04-07 10:46:00

Cocktail: 8_C0665

precip

X0000097971432200804071046

X0000097971432

Read Date: 2008-04-07 10:46:00

Cocktail: 8_C1438

clear

X0000097971413200804071046

X0000097971413

Read Date: 2008-04-07 10:46:00

Cocktail: 8_C0474

precip

X0000097971374200804071047

X0000097971374

Read Date: 2008-04-07 10:47:00

Cocktail: 8_C0860

crystal