xtuition

X0000099500767200806121415

X0000099500767

Read Date: 2008-06-12 14:15:00

Cocktail: 8A_C0720

precip

X0000099500752200806121415

X0000099500752

Read Date: 2008-06-12 14:15:00

Cocktail: 8A_C1484

precip

X0000099500734200806121415

X0000099500734

Read Date: 2008-06-12 14:15:00

Cocktail: 8A_C1288

precip

X0000099500771200806121415

X0000099500771

Read Date: 2008-06-12 14:15:00

Cocktail: 8A_C0241

precip

X0000099500760200806121415

X0000099500760

Read Date: 2008-06-12 14:15:00

Cocktail: 8A_C1486

precip

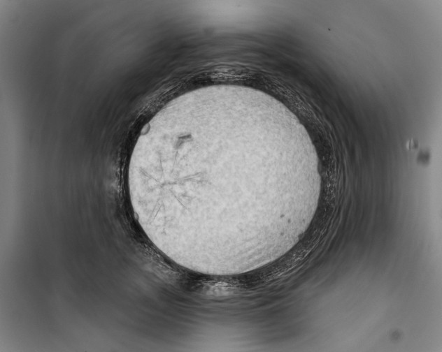
X0000099500745200806121415

X0000099500745

Read Date: 2008-06-12 14:15:00

Cocktail: 8A_C0523

crystal

X0000099500755200806121415

X0000099500755

Read Date: 2008-06-12 14:15:00

Cocktail: 8A_C0717

precip

X0000099500758200806121415

X0000099500758

Read Date: 2008-06-12 14:15:00

Cocktail: 8A_C1294

precip

X0000099500713200806121415

X0000099500713

Read Date: 2008-06-12 14:15:00

Cocktail: 8A_C0143

precip

X0000099500730200806121415

X0000099500730

Read Date: 2008-06-12 14:15:00

Cocktail: 8A_C1287

precip

X0000099500765200806121415

X0000099500765

Read Date: 2008-06-12 14:15:00

Cocktail: 8A_C0528

precip_skin

X0000099500768200806121415

X0000099500768

Read Date: 2008-06-12 14:15:00

Cocktail: 8A_C1488

precip

X0000099500721200806121415

X0000099500721

Read Date: 2008-06-12 14:15:00

Cocktail: 8A_C0517

crystal

X0000099500741200806121415

X0000099500741

Read Date: 2008-06-12 14:15:00

Cocktail: 8A_C0522

precip

X0000099500770200806121415

X0000099500770

Read Date: 2008-06-12 14:15:00

Cocktail: 8A_C0817

precip_skin

X0000099500754200806121415

X0000099500754

Read Date: 2008-06-12 14:15:00

Cocktail: 8A_C1293

precip

X0000099500748200806121415

X0000099500748

Read Date: 2008-06-12 14:15:00

Cocktail: 8A_C1483

crystal

X0000099500751200806121415

X0000099500751

Read Date: 2008-06-12 14:15:00

Cocktail: 8A_C0716

crystal

X0000099500753200806121415

X0000099500753

Read Date: 2008-06-12 14:15:00

Cocktail: 8A_C0525

precip_skin

X0000099500772200806121415

X0000099500772

Read Date: 2008-06-12 14:15:00

Cocktail: 8A_C1009

precip

X0000099500725200806121415

X0000099500725

Read Date: 2008-06-12 14:15:00

Cocktail: 8A_C0518

precip