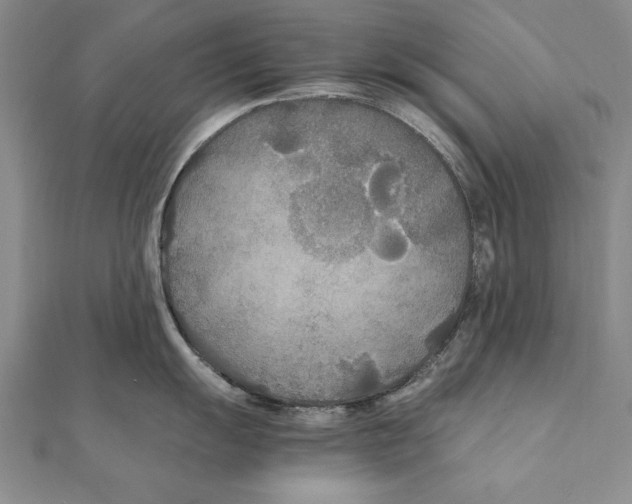
xtuition

X0000111211014200907291247

X0000111211014

Read Date: 2009-07-29 12:47:00

Cocktail: 9_C1214

Crystal

X0000111211039200907291247

X0000111211039

Read Date: 2009-07-29 12:47:00

Cocktail: 9_C0644

Unclassified

X0000111211055200907291247

X0000111211055

Read Date: 2009-07-29 12:47:00

Cocktail: 9_C0648

Unclassified

X0000111211008200907291247

X0000111211008

Read Date: 2009-07-29 12:47:00

Cocktail: 9_C1032

Unclassified

X0000111211047200907291247

X0000111211047

Read Date: 2009-07-29 12:47:00

Cocktail: 9_C0646

Unclassified

X0000111211019200907291247

X0000111211019

Read Date: 2009-07-29 12:47:00

Cocktail: 9_C0639

Unclassified

X0000111210999200907291247

X0000111210999

Read Date: 2009-07-29 12:47:00

Cocktail: 9_C0262

Unclassified

X0000111211044200907291247

X0000111211044

Read Date: 2009-07-29 12:47:00

Cocktail: 9_C1413

Unclassified

X0000111211013200907291247

X0000111211013

Read Date: 2009-07-29 12:47:00

Cocktail: 9_C0446

Unclassified

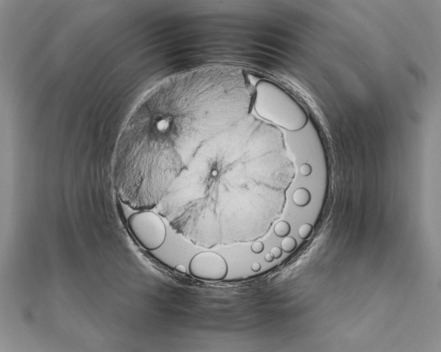
X0000111211032200907291247

X0000111211032

Read Date: 2009-07-29 12:47:00

Cocktail: 9_C1410

Crystal

X0000111211053200907291247

X0000111211053

Read Date: 2009-07-29 12:47:00

Cocktail: 9_C0456

Unclassified

X0000111211020200907291247

X0000111211020

Read Date: 2009-07-29 12:47:00

Cocktail: 9_C1407

Unclassified

X0000111210998200907291247

X0000111210998

Read Date: 2009-07-29 12:47:00

Cocktail: 9_C0838

Unclassified

X0000111210994200907291247

X0000111210994

Read Date: 2009-07-29 12:47:00

Cocktail: 9_C0837

Unclassified

X0000111211038200907291247

X0000111211038

Read Date: 2009-07-29 12:47:00

Cocktail: 9_C1220

Unclassified

X0000111211018200907291247

X0000111211018

Read Date: 2009-07-29 12:47:00

Cocktail: 9_C1215

Unclassified

X0000111211041200907291247

X0000111211041

Read Date: 2009-07-29 12:47:00

Cocktail: 9_C0453

Unclassified

X0000111211035200907291247

X0000111211035

Read Date: 2009-07-29 12:47:00

Cocktail: 9_C0643

Unclassified

X0000111211021200907291247

X0000111211021

Read Date: 2009-07-29 12:47:00

Cocktail: 9_C0448

Unclassified

X0000111211048200907291247

X0000111211048

Read Date: 2009-07-29 12:47:00

Cocktail: 9_C1414

Unclassified

X0000111210988200907291247

X0000111210988

Read Date: 2009-07-29 12:47:00

Cocktail: 9_C1027

Unclassified