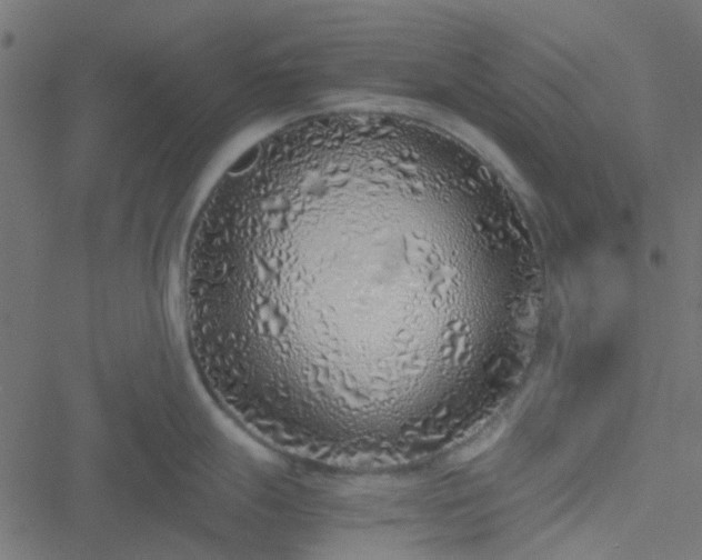
xtuition

X0000051251209200506241538

X0000051251209

Read Date: 2005-06-24 15:38:00

Cocktail: 5_C0459

crystal

X0000051251234200506241538

X0000051251234

Read Date: 2005-06-24 15:38:00

Cocktail: 5_C1233

precip

X0000051251208200506241538

X0000051251208

Read Date: 2005-06-24 15:38:00

Cocktail: 5_C1418

crystal

X0000051251253200506241538

X0000051251253

Read Date: 2005-06-24 15:38:00

Cocktail: 5_C0170

precip

X0000051251240200506241538

X0000051251240

Read Date: 2005-06-24 15:38:00

Cocktail: 5_C1426

precip

X0000051251207200506241538

X0000051251207

Read Date: 2005-06-24 15:38:00

Cocktail: 5_C0650

precip

X0000051251237200506241538

X0000051251237

Read Date: 2005-06-24 15:38:00

Cocktail: 5_C0466

clear

X0000051251252200506241538

X0000051251252

Read Date: 2005-06-24 15:38:00

Cocktail: 5_C1129

phase

X0000051251261200506241538

X0000051251261

Read Date: 2005-06-24 15:38:00

Cocktail: 5_C0172

phase

X0000051251246200506241538

X0000051251246

Read Date: 2005-06-24 15:38:00

Cocktail: 5_C1236

clear

X0000051251247200506241538

X0000051251247

Read Date: 2005-06-24 15:38:00

Cocktail: 5_C0660

precip

X0000051251213200506241538

X0000051251213

Read Date: 2005-06-24 15:38:00

Cocktail: 5_C0460

crystal

X0000051251201200506241538

X0000051251201

Read Date: 2005-06-24 15:38:00

Cocktail: 5_C0457

precip

X0000051251202200506241538

X0000051251202

Read Date: 2005-06-24 15:38:00

Cocktail: 5_C1225

phase

X0000051251251200506241538

X0000051251251

Read Date: 2005-06-24 15:38:00

Cocktail: 5_C0361

precip

X0000051251260200506241538

X0000051251260

Read Date: 2005-06-24 15:38:00

Cocktail: 5_C1131

crystal

X0000051251225200506241538

X0000051251225

Read Date: 2005-06-24 15:38:00

Cocktail: 5_C0463

precip

X0000051251226200506241538

X0000051251226

Read Date: 2005-06-24 15:38:00

Cocktail: 5_C1231

clear

X0000051251259200506241538

X0000051251259

Read Date: 2005-06-24 15:38:00

Cocktail: 5_C0363

crystal

X0000051251244200506241538

X0000051251244

Read Date: 2005-06-24 15:38:00

Cocktail: 5_C1427

precip

X0000051251243200506241538

X0000051251243

Read Date: 2005-06-24 15:38:00

Cocktail: 5_C0659

precip