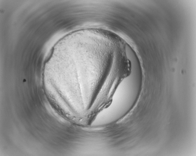
xtuition

X0000052651314200507221831

X0000052651314

Read Date: 2005-07-22 18:31:00

Cocktail: 5_C1325

crystal

X0000052651313200507221831

X0000052651313

Read Date: 2005-07-22 18:31:00

Cocktail: 5_C0557

clear

X0000052651315200507221831

X0000052651315

Read Date: 2005-07-22 18:31:00

Cocktail: 5_C0749

clear

X0000052651294200507221832

X0000052651294

Read Date: 2005-07-22 18:32:00

Cocktail: 5_C0948

precip

X0000052651280200507221832

X0000052651280

Read Date: 2005-07-22 18:32:00

Cocktail: 5_C1136

clear

X0000052651271200507221832

X0000052651271

Read Date: 2005-07-22 18:32:00

Cocktail: 5_C0366

precip_skin

X0000052651290200507221832

X0000052651290

Read Date: 2005-07-22 18:32:00

Cocktail: 5_C0947

precip

X0000052651267200507221832

X0000052651267

Read Date: 2005-07-22 18:32:00

Cocktail: 5_C0365

precip

X0000052651327200507221832

X0000052651327

Read Date: 2005-07-22 18:32:00

Cocktail: 5_C0752

precip

X0000052651296200507221832

X0000052651296

Read Date: 2005-07-22 18:32:00

Cocktail: 5_C1140

precip_skin

X0000052651260200507221832

X0000052651260

Read Date: 2005-07-22 18:32:00

Cocktail: 5_C1131

crystal

X0000052651295200507221832

X0000052651295

Read Date: 2005-07-22 18:32:00

Cocktail: 5_C0372

crystal

X0000052651256200507221832

X0000052651256

Read Date: 2005-07-22 18:32:00

Cocktail: 5_C1130

crystal

X0000052651270200507221832

X0000052651270

Read Date: 2005-07-22 18:32:00

Cocktail: 5_C0942

precip

X0000052651339200507221832

X0000052651339

Read Date: 2005-07-22 18:32:00

Cocktail: 5_C0755

clear

X0000052651283200507221832

X0000052651283

Read Date: 2005-07-22 18:32:00

Cocktail: 5_C0369

precip

X0000052651275200507221832

X0000052651275

Read Date: 2005-07-22 18:32:00

Cocktail: 5_C0367

precip_skin

X0000052651279200507221832

X0000052651279

Read Date: 2005-07-22 18:32:00

Cocktail: 5_C0368

clear

X0000052651268200507221832

X0000052651268

Read Date: 2005-07-22 18:32:00

Cocktail: 5_C1133

precip

X0000052651292200507221832

X0000052651292

Read Date: 2005-07-22 18:32:00

Cocktail: 5_C1139

clear

X0000052651269200507221832

X0000052651269

Read Date: 2005-07-22 18:32:00

Cocktail: 5_C0174

clear