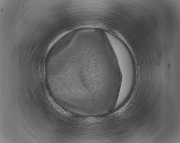
xtuition

X0000055970788200509021545

X0000055970788

Read Date: 2005-09-02 15:45:00

Cocktail: 5_C1013

crystal

X0000055970783200509021545

X0000055970783

Read Date: 2005-09-02 15:45:00

Cocktail: 5_C0244

precip

X0000055970802200509021545

X0000055970802

Read Date: 2005-09-02 15:45:00

Cocktail: 5_C0825

precip

X0000055970813200509021545

X0000055970813

Read Date: 2005-09-02 15:45:00

Cocktail: 5_C0060

precip

X0000055970801200509021545

X0000055970801

Read Date: 2005-09-02 15:45:00

Cocktail: 5_C0057

crystal

X0000055970848200509021545

X0000055970848

Read Date: 2005-09-02 15:45:00

Cocktail: 5_C1400

precip

X0000055970777200509021545

X0000055970777

Read Date: 2005-09-02 15:45:00

Cocktail: 5_C0051

precip

X0000055970807200509021545

X0000055970807

Read Date: 2005-09-02 15:45:00

Cocktail: 5_C0250

precip

X0000055970805200509021545

X0000055970805

Read Date: 2005-09-02 15:45:00

Cocktail: 5_C0058

phase

X0000055970775200509021545

X0000055970775

Read Date: 2005-09-02 15:45:00

Cocktail: 5_C0242

precip

X0000055970858200509021545

X0000055970858

Read Date: 2005-09-02 15:45:00

Cocktail: 5_C1211

precip

X0000055970797200509021545

X0000055970797

Read Date: 2005-09-02 15:45:00

Cocktail: 5_C0056

precip

X0000055970784200509021545

X0000055970784

Read Date: 2005-09-02 15:45:00

Cocktail: 5_C1012

precip

X0000055970779200509021545

X0000055970779

Read Date: 2005-09-02 15:45:00

Cocktail: 5_C0243

precip

X0000055970793200509021545

X0000055970793

Read Date: 2005-09-02 15:45:00

Cocktail: 5_C0055

precip

X0000055970849200509021545

X0000055970849

Read Date: 2005-09-02 15:45:00

Cocktail: 5_C0441

precip

X0000055970787200509021545

X0000055970787

Read Date: 2005-09-02 15:45:00

Cocktail: 5_C0245

precip

X0000055970811200509021545

X0000055970811

Read Date: 2005-09-02 15:45:00

Cocktail: 5_C0251

precip

X0000055970765200509021546

X0000055970765

Read Date: 2005-09-02 15:46:00

Cocktail: 5_C0528

precip

X0000055970746200509021546

X0000055970746

Read Date: 2005-09-02 15:46:00

Cocktail: 5_C1291

precip

X0000055970763200509021546

X0000055970763

Read Date: 2005-09-02 15:46:00

Cocktail: 5_C0719

phase