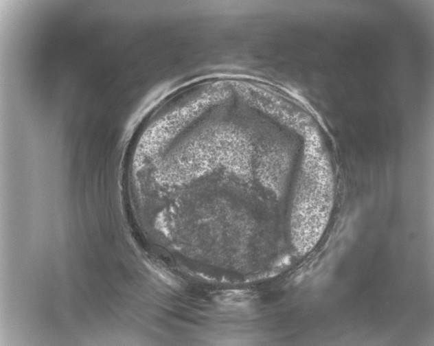
xtuition

X0000055980149200509162234

X0000055980149

Read Date: 2005-09-16 22:34:00

Cocktail: 5_C0482

crystal

X0000055980223200509162234

X0000055980223

Read Date: 2005-09-16 22:34:00

Cocktail: 5_C0212

precip

X0000055980221200509162234

X0000055980221

Read Date: 2005-09-16 22:34:00

Cocktail: 5_C0020

phase

X0000055980194200509162234

X0000055980194

Read Date: 2005-09-16 22:34:00

Cocktail: 5_C0781

precip

X0000055980151200509162234

X0000055980151

Read Date: 2005-09-16 22:34:00

Cocktail: 5_C0674

precip_skin

X0000055980206200509162234

X0000055980206

Read Date: 2005-09-16 22:34:00

Cocktail: 5_C0784

crystal

X0000055980212200509162234

X0000055980212

Read Date: 2005-09-16 22:34:00

Cocktail: 5_C0977

clear

X0000055980193200509162234

X0000055980193

Read Date: 2005-09-16 22:34:00

Cocktail: 5_C0013

clear

X0000055980153200509162234

X0000055980153

Read Date: 2005-09-16 22:34:00

Cocktail: 5_C0483

precip_skin

X0000055980203200509162234

X0000055980203

Read Date: 2005-09-16 22:34:00

Cocktail: 5_C0207

crystal

X0000055980147200509162234

X0000055980147

Read Date: 2005-09-16 22:34:00

Cocktail: 5_C0673

precip

X0000055980220200509162234

X0000055980220

Read Date: 2005-09-16 22:34:00

Cocktail: 5_C0979

precip

X0000055980216200509162234

X0000055980216

Read Date: 2005-09-16 22:34:00

Cocktail: 5_C0978

precip

X0000055980200200509162234

X0000055980200

Read Date: 2005-09-16 22:34:00

Cocktail: 5_C0974

precip

X0000055980166200509162234

X0000055980166

Read Date: 2005-09-16 22:34:00

Cocktail: 5_C1254

precip_skin

X0000055980152200509162234

X0000055980152

Read Date: 2005-09-16 22:34:00

Cocktail: 5_C1442

precip_skin

X0000055980162200509162234

X0000055980162

Read Date: 2005-09-16 22:34:00

Cocktail: 5_C1253

crystal

X0000055980164200509162234

X0000055980164

Read Date: 2005-09-16 22:34:00

Cocktail: 5_C1445

crystal

X0000055980208200509162234

X0000055980208

Read Date: 2005-09-16 22:34:00

Cocktail: 5_C0976

precip

X0000055980226200509162234

X0000055980226

Read Date: 2005-09-16 22:34:00

Cocktail: 5_C0789

phase

X0000055980227200509162234

X0000055980227

Read Date: 2005-09-16 22:34:00

Cocktail: 5_C0213

crystal