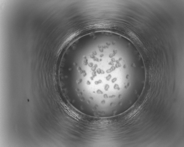
xtuition

X0000057070953200510010130

X0000057070953

Read Date: 2005-10-01 01:30:00

Cocktail: 6_C0539

crystal

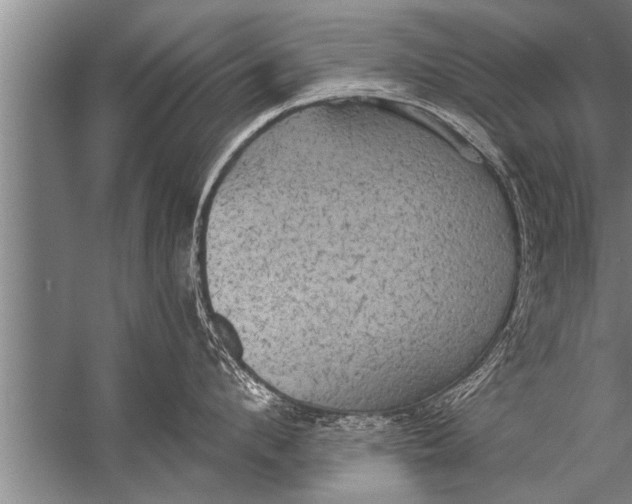
X0000057070946200510010130

X0000057070946

Read Date: 2005-10-01 01:30:00

Cocktail: 6_C1305

precip

X0000057070954200510010130

X0000057070954

Read Date: 2005-10-01 01:30:00

Cocktail: 6_C1307

precip

X0000057070936200510010130

X0000057070936

Read Date: 2005-10-01 01:30:00

Cocktail: 6_C1494

crystal

X0000057070912200510010130

X0000057070912

Read Date: 2005-10-01 01:30:00

Cocktail: 6_C1116

precip

X0000057070944200510010130

X0000057070944

Read Date: 2005-10-01 01:30:00

Cocktail: 6_C1496

clear

X0000057070942200510010130

X0000057070942

Read Date: 2005-10-01 01:30:00

Cocktail: 6_C1304

phase

X0000057070905200510010130

X0000057070905

Read Date: 2005-10-01 01:30:00

Cocktail: 6_C0155

phase

X0000057070951200510010130

X0000057070951

Read Date: 2005-10-01 01:30:00

Cocktail: 6_C0730

precip

X0000057070911200510010130

X0000057070911

Read Date: 2005-10-01 01:30:00

Cocktail: 6_C0348

precip

X0000057070957200510010130

X0000057070957

Read Date: 2005-10-01 01:30:00

Cocktail: 6_C0540

precip

X0000057070931200510010130

X0000057070931

Read Date: 2005-10-01 01:30:00

Cocktail: 6_C0725

crystal

X0000057070930200510010130

X0000057070930

Read Date: 2005-10-01 01:30:00

Cocktail: 6_C1301

crystal

X0000057070875200510010131

X0000057070875

Read Date: 2005-10-01 01:31:00

Cocktail: 6_C0339

precip

X0000057070836200510010131

X0000057070836

Read Date: 2005-10-01 01:31:00

Cocktail: 6_C1397

precip

X0000057070886200510010131

X0000057070886

Read Date: 2005-10-01 01:31:00

Cocktail: 6_C0918

precip_skin

X0000057070831200510010131

X0000057070831

Read Date: 2005-10-01 01:31:00

Cocktail: 6_C0628

precip

X0000057070852200510010131

X0000057070852

Read Date: 2005-10-01 01:31:00

Cocktail: 6_C1401

precip

X0000057070876200510010131

X0000057070876

Read Date: 2005-10-01 01:31:00

Cocktail: 6_C1107

phase

X0000057070874200510010131

X0000057070874

Read Date: 2005-10-01 01:31:00

Cocktail: 6_C0915

precip

X0000057070822200510010131

X0000057070822

Read Date: 2005-10-01 01:31:00

Cocktail: 6_C1202

phase