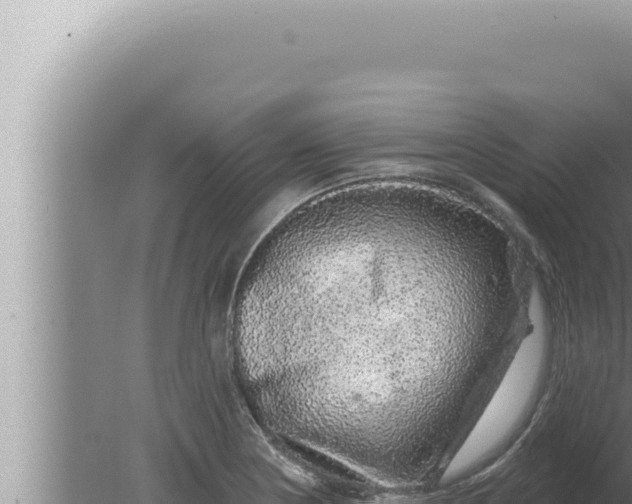
xtuition

X0000080101175200612221731

X0000080101175

Read Date: 2006-12-22 17:31:00

Cocktail: 7_C0270

crystal

X0000080101161200612221731

X0000080101161

Read Date: 2006-12-22 17:31:00

Cocktail: 7_C0075

precip

X0000080101117200612221731

X0000080101117

Read Date: 2006-12-22 17:31:00

Cocktail: 7_C0544

precip

X0000080101106200612221731

X0000080101106

Read Date: 2006-12-22 17:31:00

Cocktail: 7_C1309

crystal

X0000080101176200612221731

X0000080101176

Read Date: 2006-12-22 17:31:00

Cocktail: 7_C1038

phase

X0000080101159200612221731

X0000080101159

Read Date: 2006-12-22 17:31:00

Cocktail: 7_C0266

crystal

X0000080101169200612221731

X0000080101169

Read Date: 2006-12-22 17:31:00

Cocktail: 7_C0077

phase

X0000080101180200612221731

X0000080101180

Read Date: 2006-12-22 17:31:00

Cocktail: 7_C1039

precip

X0000080101105200612221731

X0000080101105

Read Date: 2006-12-22 17:31:00

Cocktail: 7_C0541

precip

X0000080101168200612221731

X0000080101168

Read Date: 2006-12-22 17:31:00

Cocktail: 7_C1036

phase

X0000080101163200612221731

X0000080101163

Read Date: 2006-12-22 17:31:00

Cocktail: 7_C0267

precip_skin

X0000080101178200612221731

X0000080101178

Read Date: 2006-12-22 17:31:00

Cocktail: 7_C0847

precip_skin

X0000080101186200612221731

X0000080101186

Read Date: 2006-12-22 17:31:00

Cocktail: 7_C0849

phase

X0000080101112200612221731

X0000080101112

Read Date: 2006-12-22 17:31:00

Cocktail: 7_C1502

phase

X0000080101118200612221731

X0000080101118

Read Date: 2006-12-22 17:31:00

Cocktail: 7_C1312

phase

X0000080101109200612221731

X0000080101109

Read Date: 2006-12-22 17:31:00

Cocktail: 7_C0542

phase

X0000080101108200612221731

X0000080101108

Read Date: 2006-12-22 17:31:00

Cocktail: 7_C1501

precip_skin

X0000080101172200612221731

X0000080101172

Read Date: 2006-12-22 17:31:00

Cocktail: 7_C1037

phase

X0000080101119200612221731

X0000080101119

Read Date: 2006-12-22 17:31:00

Cocktail: 7_C0736

phase

X0000080101181200612221731

X0000080101181

Read Date: 2006-12-22 17:31:00

Cocktail: 7_C0080

phase

X0000080101185200612221731

X0000080101185

Read Date: 2006-12-22 17:31:00

Cocktail: 7_C0081

precip