xtuition

X0000080110887200612221802

X0000080110887

Read Date: 2006-12-22 18:02:00

Cocktail: 7_C0342

precip

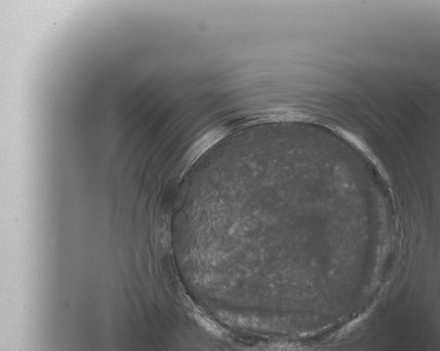
X0000080110884200612221802

X0000080110884

Read Date: 2006-12-22 18:02:00

Cocktail: 7_C1109

clear

X0000080110875200612221802

X0000080110875

Read Date: 2006-12-22 18:02:00

Cocktail: 7_C0339

precip

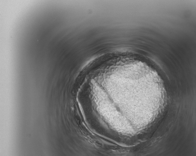
X0000080110825200612221802

X0000080110825

Read Date: 2006-12-22 18:02:00

Cocktail: 7_C0435

precip_skin

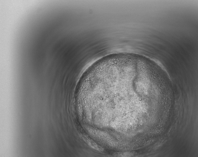
X0000080110880200612221802

X0000080110880

Read Date: 2006-12-22 18:02:00

Cocktail: 7_C1108

phase

X0000080110889200612221802

X0000080110889

Read Date: 2006-12-22 18:02:00

Cocktail: 7_C0151

precip

X0000080110873200612221802

X0000080110873

Read Date: 2006-12-22 18:02:00

Cocktail: 7_C0147

precip

X0000080110876200612221802

X0000080110876

Read Date: 2006-12-22 18:02:00

Cocktail: 7_C1107

crystal

X0000080110879200612221802

X0000080110879

Read Date: 2006-12-22 18:02:00

Cocktail: 7_C0340

precip_skin

X0000080110832200612221802

X0000080110832

Read Date: 2006-12-22 18:02:00

Cocktail: 7_C1396

precip

X0000080110871200612221802

X0000080110871

Read Date: 2006-12-22 18:02:00

Cocktail: 7_C0338

precip

X0000080110877200612221802

X0000080110877

Read Date: 2006-12-22 18:02:00

Cocktail: 7_C0148

precip

X0000080110868200612221802

X0000080110868

Read Date: 2006-12-22 18:02:00

Cocktail: 7_C1105

precip

X0000080110833200612221802

X0000080110833

Read Date: 2006-12-22 18:02:00

Cocktail: 7_C0437

precip_skin

X0000080110839200612221802

X0000080110839

Read Date: 2006-12-22 18:02:00

Cocktail: 7_C0630

precip_skin

X0000080110882200612221802

X0000080110882

Read Date: 2006-12-22 18:02:00

Cocktail: 7_C0917

precip

X0000080110874200612221802

X0000080110874

Read Date: 2006-12-22 18:02:00

Cocktail: 7_C0915

precip

X0000080110845200612221802

X0000080110845

Read Date: 2006-12-22 18:02:00

Cocktail: 7_C0440

precip_skin

X0000080110823200612221802

X0000080110823

Read Date: 2006-12-22 18:02:00

Cocktail: 7_C0626

precip_skin

X0000080110819200612221802

X0000080110819

Read Date: 2006-12-22 18:02:00

Cocktail: 7_C0625

phase

X0000080110841200612221802

X0000080110841

Read Date: 2006-12-22 18:02:00

Cocktail: 7_C0439

crystal