Search
Screens
Compounds
Samples
API
About
Samples
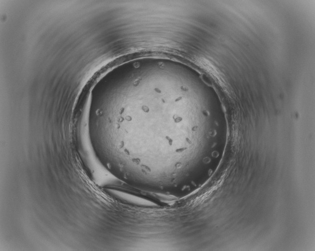
X000008694
Wells
«
Skin
Phase
Precipitant
Clear
Crystal
Verified
»
X0000086940924
Read Date: 2007-04-23 13:54:00
Cocktail:
7_C1491
Crystal
crystal
X0000086940924
Read Date: 2007-05-14 17:59:00
Cocktail:
7_C1491
Crystal
crystal
Previous
Next