xtuition

X0000088590892200706151733

X0000088590892

Read Date: 2007-06-15 17:33:00

Cocktail: 7_C1111

precip

X0000088590928200706151733

X0000088590928

Read Date: 2007-06-15 17:33:00

Cocktail: 7_C1492

precip_skin

X0000088590935200706151733

X0000088590935

Read Date: 2007-06-15 17:33:00

Cocktail: 7_C0726

precip

X0000088590944200706151733

X0000088590944

Read Date: 2007-06-15 17:33:00

Cocktail: 7_C1496

precip

X0000088590958200706151733

X0000088590958

Read Date: 2007-06-15 17:33:00

Cocktail: 7_C1308

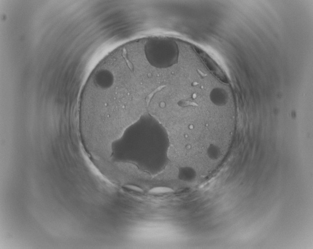
crystal

X0000088590911200706151733

X0000088590911

Read Date: 2007-06-15 17:33:00

Cocktail: 7_C0348

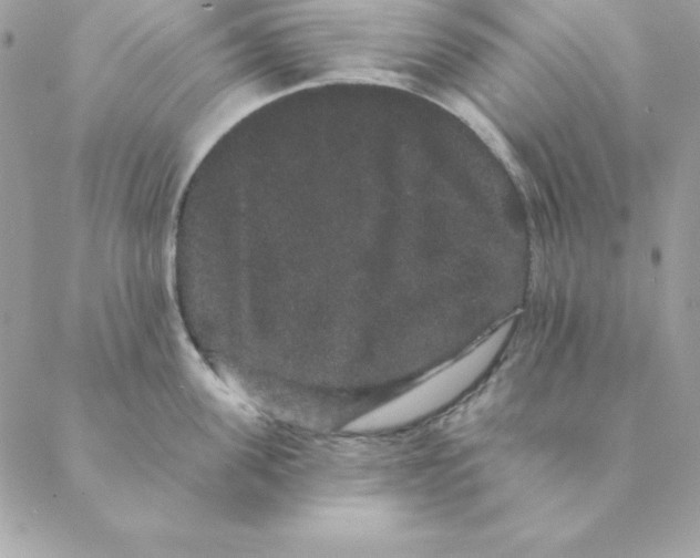
crystal

X0000088590959200706151733

X0000088590959

Read Date: 2007-06-15 17:33:00

Cocktail: 7_C0732

precip

X0000088590888200706151733

X0000088590888

Read Date: 2007-06-15 17:33:00

Cocktail: 7_C1110

precip

X0000088590942200706151733

X0000088590942

Read Date: 2007-06-15 17:33:00

Cocktail: 7_C1304

crystal

X0000088590941200706151733

X0000088590941

Read Date: 2007-06-15 17:33:00

Cocktail: 7_C0536

precip

X0000088590934200706151733

X0000088590934

Read Date: 2007-06-15 17:33:00

Cocktail: 7_C1302

precip

X0000088590948200706151733

X0000088590948

Read Date: 2007-06-15 17:33:00

Cocktail: 7_C1497

precip

X0000088590945200706151733

X0000088590945

Read Date: 2007-06-15 17:33:00

Cocktail: 7_C0537

crystal

X0000088590900200706151733

X0000088590900

Read Date: 2007-06-15 17:33:00

Cocktail: 7_C1113

precip_skin

X0000088590908200706151733

X0000088590908

Read Date: 2007-06-15 17:33:00

Cocktail: 7_C1115

precip_skin

X0000088590904200706151733

X0000088590904

Read Date: 2007-06-15 17:33:00

Cocktail: 7_C1114

precip

X0000088590891200706151733

X0000088590891

Read Date: 2007-06-15 17:33:00

Cocktail: 7_C0343

precip

X0000088590955200706151733

X0000088590955

Read Date: 2007-06-15 17:33:00

Cocktail: 7_C0731

precip

X0000088590887200706151733

X0000088590887

Read Date: 2007-06-15 17:33:00

Cocktail: 7_C0342

precip

X0000088590931200706151733

X0000088590931

Read Date: 2007-06-15 17:33:00

Cocktail: 7_C0725

precip

X0000088590953200706151733

X0000088590953

Read Date: 2007-06-15 17:33:00

Cocktail: 7_C0539

crystal